Além de sintomas comuns, como febre, tosse e desconforto respiratório, algumas crianças têm apresentado uma forma atípica de covid-19, chamada Síndrome Inflamatória Multissistêmica Pediátrica (SIM-P). Caracterizada por febre persistente e inflamação em diversos órgãos, como o coração, o intestino e, em menor grau, os pulmões, a SIM-P começou a ser relatada e relacionada a casos graves e óbitos de crianças pela doença em vários países, incluindo o Brasil, desde o início da pandemia.
Ao realizar a maior série de autópsias feita até o momento em crianças e adolescentes que morreram em decorrência da covid-19, pesquisadores da Faculdade de Medicina da Universidade de São Paulo (FM-USP) e do Instituto Adolfo Lutz constataram que a alta capacidade do SARS-CoV-2 de invadir e causar lesões nos tecidos de vários órgãos é um dos fatores que induzem a SIM-P, desencadeando uma diversidade de manifestações clínicas que incluem, além de febre persistente, dores abdominais, insuficiência cardíaca e convulsões.
Os resultados do estudo, apoiado pela Fapesp, foram publicados em artigo na revista EClinicalMedicine, do grupo Lancet.
“A ação direta do vírus nos tecidos de diversos órgãos é um dos motivos pelos quais as crianças com essa síndrome apresentam uma resposta inflamatória exagerada e alterada à infecção”, diz à Agência FAPESP Marisa Dolhnikoff, professora da FM-USP e coordenadora do projeto.
Os pesquisadores realizaram a autópsia de cinco crianças que faleceram em decorrência da COVID-19 em São Paulo, sendo um menino e quatro meninas, com idade entre 7 meses e 15 anos.
Duas crianças tinham doenças graves antes da infecção pelo SARS-CoV-2 – uma tinha câncer e outra uma síndrome genética congênita – e as outras três eram previamente saudáveis e desenvolveram a SIM-P com manifestações clínicas distintas. Uma delas apresentou inflamação cardíaca (miocardite), outra inflamação intestinal (colite) e a terceira encefalopatia aguda, que desencadeou convulsões.
As autópsias foram feitas por meio de um método minimamente invasivo, em que amostras de tecidos de todos os órgãos são coletadas por punção, guiadas por imagens geradas por um aparelho de ultrassom portátil.
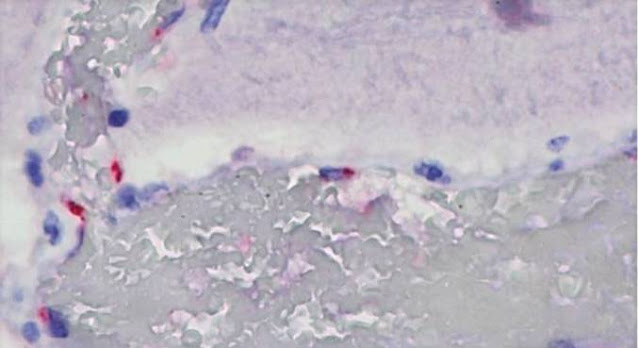
A presença do SARS-CoV-2 nos tecidos foi determinada por reação em cadeia da polimerase por transcrição reversa (RT-PCR, o mesmo teste usado no diagnóstico da COVID-19) e por imuno-histoquímica, método em que são usados anticorpos capazes de detectar duas proteínas do vírus: a N, do nucleocapsídeo, e a S2, dos “espinhos” (spikes) da superfície viral.
A análise histopatológica revelou que as duas crianças com doença grave preexistente apresentaram um quadro de covid-19 grave “clássica”, caracterizada por uma doença respiratória aguda em função de lesões extensas e severas causadas pelo SARS-CoV-2 nos alvéolos pulmonares. O vírus também foi identificado em outros órgãos.
Já nas três crianças previamente saudáveis predominaram lesões inflamatórias extrapulmonares, como miocardite no coração e colite – uma extensão inflamação intestinal.
O novo coronavírus foi detectado em células endoteliais e musculares do coração no paciente com miocardite, no tecido intestinal da criança com colite aguda e no tecido cerebral da que desenvolveu encefalopatia aguda.
“Vimos que o SARS-CoV-2 se disseminou pelos vasos sanguíneos, infectando vários tipos de células e tecidos dessas crianças. E as manifestações clínicas variaram de acordo com o órgão-alvo”, afirma Dolhnikoff.
“É importante que os pediatras atentem para essas possíveis manifestações clínicas diferentes de covid-19 em crianças e adolescentes para que a infecção seja diagnosticada e a SIM-P tratada mais rapidamente”, aponta a pesquisadora.
A SIM-P pode ocorrer alguns dias ou semanas após a infecção pelo SARS-CoV-2 e, até então, se pensava que essa reação inflamatória exagerada acontecia independentemente de o vírus ainda estar presente no organismo, como resultado de uma reação imune.
As constatações feitas por meio do estudo, contudo, trazem evidências de que as manifestações da SIM-P são desencadeadas também pela ação direta do novo coronavírus nas células dos órgãos infectados.
“Não estamos dizendo que o que está descrito até agora sobre a síndrome inflamatória multissistêmica pediátrica está errado, mas acrescentamos a constatação de que a própria lesão causada nos tecidos pelo vírus está relacionada e, muito provavelmente, é um componente importante para a indução dessa resposta inflamatória exagerada em crianças”, ressalta Dolhnikoff.
Ainda não se sabe por que algumas crianças apresentam uma resposta inflamatória exacerbada à infecção pelo SARS-CoV-2 que caracteriza a SIM-P. Uma das hipóteses é que pode haver um componente genético ainda não elucidado.
Células endoteliais são alvos
Os pesquisadores observaram que um dos principais alvos do novo coronavírus são as células endoteliais, que revestem a parede interna dos vasos, incluindo desde as artérias de grande calibre até os capilares sanguíneos mais delgados.
“Uma das hipóteses é que, ao ser infectada, a célula endotelial dispara mediadores na corrente sanguínea que provocam uma cascata de inflamação que causa toda essa reação observada em crianças com a SIM-P, como febre persistente, colite, miocardite e encefalite”, explica Amaro Nunes Duarte Neto, infectologista e patologista da FM-USP e do Instituto Adolfo Lutz e um dos primeiros autores do estudo.
“Quem induz essa reação nas células é o próprio vírus, mas é o sistema imune que produz a resposta prejudicial ao paciente. Porém, não é uma reação autoimune, como ocorre nos casos de doenças como lúpus, psoríase e artrite inflamatória, em que também há lesão de vasos sanguíneos. No caso da síndrome inflamatória multissistêmica pediátrica há o envolvimento direto do vírus”, sublinha Duarte-Neto.
Análises feitas por microscopia eletrônica pela professora da FM-USP Elia Caldini sustentam essas conclusões.
A técnica permite o reconhecimento direto da partícula viral, com aumento de mais de 50 mil vezes, sem a utilização de reações específicas. Dessa forma, foi possível descrever as alterações citoplasmáticas nas células associadas à presença do vírus
“Em busca de um método inequívoco de identificação, também empregamos, de maneira inédita, a técnica de imunomarcação do SARS-CoV-2 na microscopia eletrônica. Usamos partículas de ouro coloidal acopladas aos mesmos anticorpos específicos usados na microscopia de luz contra proteínas estruturais do SARS-CoV-2”, explica Caldini.
Os pesquisadores também detectaram, pela primeira vez em crianças, a formação de microtrombos, a exemplo do que já tinha sido observado e relatado em adultos.
“Os fenômenos relacionados à coagulação do sangue devem ser sempre considerados na covid-19, uma vez que a microscopia eletrônica mostra que, em todos os órgãos estudados, há capilares sanguíneos obstruídos pelo acúmulo de hemácias, leucócitos, restos celulares e fibrina, com ruptura da parede endotelial”, aponta Caldini.
Fonte:R7
